5. fMRI Studies in Sedated Children
Case 1

| Patient | 2 month-old-girl with hydrocephalus | ||||||
| Paradigm | ON: Presentation of mother's voice, pre-recorded, using familiar words OFF: Nothing. Patient sedated with chloral hydrate | ||||||
| Statistics |
| ||||||
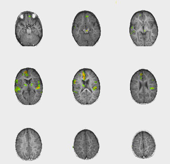
| Activation | There is bilateral activation of the precentral gyri and the right superior temporal gyrus. The activation of the motor strip occurs at the level of oral-facial representation. This is supposed to be related with the habituation-dishabituation of high-amplitude sucking in response to lingustic stimuli. This response is of great importance in the preservation of our species. | ||||||
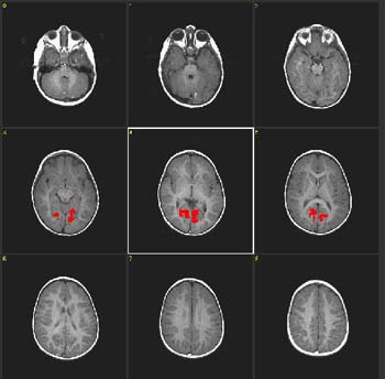
Case 2

| Patient | 18 month-old-boy with mild cerebral palsy | ||||||
| Paradigm | ON: Presentation of mother's voice, pre-recorded, using familiar words and sounds OFF: Nothing. Patient sedated with propofol | ||||||
| Statistics |
| ||||||
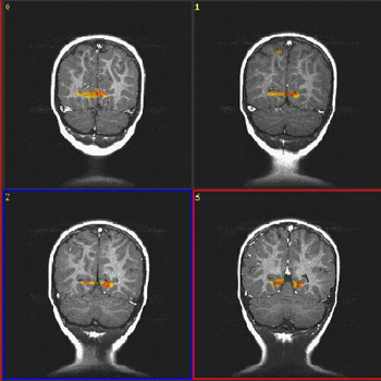
| Activation | Activation of auditory areas are well depicted. There is bithalamic activation. The strong activation of the right parasagital frontal lobe is not well understood. |
Case 3

| Patient | 4 year-old-boy with autism | ||||||
| Paradigm | ON: Presentation of flashing lights at 8 Hz, using special goggles OFF: Nothing. Patient sedated with nembutal | ||||||
| Statistics |
| ||||||
| Activation | Coronal cuts. The colored areas in the figure were obtained subtracting ON from OFF. Thus, the result shows "deactivation", which represent hyper extraction of oxygen occurring in the primary visual areas (V1). This finding is consistently found in young children either awake or under sedation. |
Case 4
| Patient | Normal 18 month-old-boy | ||||||
| Paradigm #1: | ON: Presentation of mother's voice, pre-recorded, using familiar words OFF: Nothing. Patient sedated with chloral hydrate | ||||||
| Statistics |
| ||||||
| Graphic of Time Course | 6 epochs starting in OFF![]() | ||||||
| Image | ![]() | ||||||
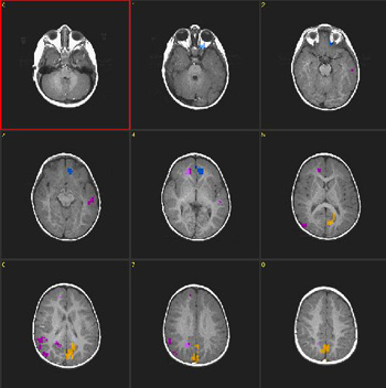
| Activation | There is bilateral activation on the parasagital aspects of the frontal lobes, greater on the right. The primary auditory area is activated on the left. Scattered activation is also present on the right parietal lobe. There is bilateral activation of the cuneus and precuneus wider on the left. | ||||||
| Paradigm #2: | ON: Presentation of flashing lights, 8 Hz OFF: Nothing. Patient sedated with chloral hydrate | ||||||
| Statistics |
| ||||||
| Image | ON-OFF | ||||||
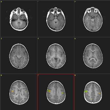
| Activation | There is bilateral activation of the motor strip, and "deactivation" of anterolateral region of the calcarine fissure (periferal V1) as seen in the case No. 3. The location of this response is expected since the type of stimulus used here causes greater activation of the peripheral retina than of the fovea. The activation of the motor areas through visual stimulus is similar to the obtained with mother's voice in case No. 1. |







