4. fMRI Clinical Cases
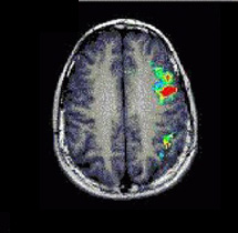
Case 1

| Patient | Female patient, age 19. Presurgical demonstration of eloquent areas |
| Paradigm | Phonetic fluency ON: Silent word generation starting with a given letter OFF: Think of nothing |
| Results | Activation of middle and inferior left frontal gyri, precentral left cortex, left angular gyri, and scattered areas in the parietal lobes. |
| Comments | The main activated area in this phonetic fluency task is the superior aspect of the left inferior frontal gyrus. In contrast, the main area of activation on tasks requiring generation of verbs is the inferior aspect of Broca's area, along with the anterior insula. |
Case 2

| Patient | Male patient, age 13. Presurgical mapping of eloquent areas. |
| Paradigm | Phonetic fluency ON: Silent word generation starting with a given letter OFF: Think of nothing |
| Results | Strong activation in left middle and inferior frontal gyri, and left postcentral sulcus. There is no significant activation in the right hemisphere |
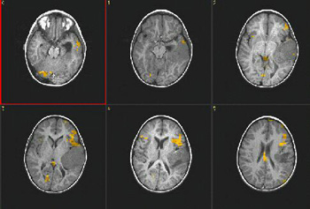
Case 3

| Patient | Male patient, age 14, with seizures |
| Paradigm | Tapping task ON: Alternating Finger Tapping with the right hand OFF: Think of nothing |
| Results | Cortex of the left central sulcus was strongly activated. The relation to the tumor is clearly depicted by the images. |
| Comments | The tumor was resected without postoperatory motor deficit |
Case 4

| Patient | Male patient, 9 years old with a neoplastic lesion in the left sylvian fissure. No language deficit |
| Paradigm | Verbal fluency task ON: Think of actions related to given nouns OFF: Think of nothing |
| Results | Obvious left language dominance. |



