fMRI Studies (Functional Magnetic Resonance Imaging)
What is fMRI?
Functional magnetic resonance imaging (fMRI) is a development of MRI techniques that allows visualization of brain functions related to specific tasks. The study does not require any substance to be administered since it is based on the indigenous brain vascular response, requiring only cooperation for periods ranging from 15 to 60 minutes.
To date, several tasks have been utilized for mapping the brain cortex. Simple tasks include stimuli based on presentation of light, colors, tones, chords, music, syllables, movement of fingers and basic sensory perceptions. More complex and refined experiments have been implemented to map subtle cognitive functions. Currently, there is a vast armamentarium for mapping memory, attention, inhibition, face recognition, sensory discrimination, fear, etc.
However, most fMRI work has been directed in mapping language. Language mapping has been performed in children and adults. Reading, listening to meaningful text, generating words, making semantic decisions, are the most frequent paradigms described in the abundant current literature on fMRI. The technique has received ample acceptance among neuroscientists interested in epilepsy for the potential it has to become a tool to replace the Wada test.

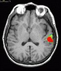
T1 weighted MRI
Transverse image at the level of the planum temporale. The left hemisphere is seen in the right side (radiological convention). The subject's task was listening to a story.The red bubble seen on the left side corresponds to areas related to complex semantic processing.
Functional MRI is based on small signal changes that result from the following cascade of events. A task elicits activation in one or several brain areas. These areas increase their metabolic demands, suffer vasodilatation, and alter their levels of deoxyhemoglobin and oxyhemoglobin. Since deoxyhemoglobin is a paramagnetic molecule, it influences the phase of local proton-spins, altering the source signal that is converted into images. Therefore, the image is a representation of local changes of levels of deoxyhemoglobin, related to the brain region performing a task.
Although fMRI is almost risk-free, it cannot be performed in patients with claustrophobia, metal implants, wires and pace-makers. Patients with vagal nerve stimulators, or dental braces, may be included. However, some degradation of the images is expected.
Research and studies conducted by:
Dr. Nolan Altman and Dr. Byron Bernal of the Radiology Department



