1. How fMRI Works

In order to understand how functional magnetic resonance (fMRI) works it is important to know some basic things about brain anatomy and function. Also, it is necessary to know some magnetic resonance imaging (MRI) basic facts. Let's begin with the first part.

A very short course on Neuroanatomy

The brain is divided in two hemispheres, the right and the left. Each hemisphere is divided into lobes. And each lobe has different areas as is depicted in the next figure taken with permission from http://www.umich.edu/~cogneuro/home.html

brodmans.pngEach region in a different color is a lobe. In yellow the frontal lobe; in green, the parietal lobe; the occipital lobe appears blue, while the temporal lobe is red.

Areas 1,2,3, and 5 "feel" the sensations of touch, position and temperature. Areas 4, 6, and 8 move the muscles of the body. Areas like 44, 45 and 47 produce language. Areas 41 and 42 "hear", areas 17 to 19 "see".

Other areas like 37, 46, 10, 22, 38 are in charge of the complex process involving memory, internal language, comprehension and planning.

This is a regionalization of the function. Also, there is something called "lateralization" of the function. This means that a particular activity can be predominantly located in one hemisphere. That happens with language. In almost all right-handed people the left hemisphere is dominant for language.

Each thing we do, any thought, feeling or sensation is produced by the activity of cells localized in a specific area of the brain. For example, if you receive the credit card bill and you panic, that is because a group of cells in the inner part of the brain start to fire, increasing its electrical current, transmission, and metabolism. These cells need more blood since they need more fuel. And it happens that when an area of the brain becomes activated, that area receives more blood because in that region there is dilatation of the tiny blood vessels.

So, ultimately, any action of the brain occurs along with an increase of blood at the point of the cortex where that action is commanded.

Now, let's continue to the second part.

A very, very short course on MRI basics

MRI is a procedure to see the anatomy of the internal organs of the body. It is based on three things: magnetism, radiofrequency and computers.

Nevertheless, to understand how an MRI works and how these three things can show us the anatomy of the brain (and the whole body) it is important to know five other things:

  1. Our body contains large amounts of water.
  2. Water is formed by hydrogen and oxygen (The hydrogen is presented basically as protons).
  3. Protons are positive charges that spin.
  4. A charge that spins creates a magnetic field that can be oriented. In other words, these micro-magnets can be up or down, right or left.
  5. The spin of these micro-magnets have a specific frequency (or velocity).

And that is it. Let's return to the three things needed to perform an MRI: magnetism, radiofrequency and computers.

Magnetism

The magnetic resonance machine is a big and strong magnet. When the body is inside, every proton of the body is oriented in the same way (for instance, with the positive pole up). This means that the body becomes a magnet, but a non-homogeneous magnet, because the amount of water in each part of the body varies with the specific characteristics of the organ: the layer, the location, and even the types of cells. Therefore, the human body can be pictured as a 3D-map of changes of magnetic field with a human body form. If we knew the density of those changes we could obtain the images of the internal anatomy. And how do we know the density? By means of radiofrequency.

Radiofrequency

Radiofrequency gives energy to the spin of the protons, increasing the amplitude of their turns without changing the frequency. Now the 3D-magnetic map becomes a 3D-map of energy. Each particular point in the body has a particular energy (or intensity, in terms of radiofrequency). If radiofrequency is no longer applied to the body, the proton-spins return to their original state and in that moment release radiofrequency waves. Now we have a 3D-map of radiofrequency. And radiofrequency can be registered with coils.

Computers

The rest of the procedure is done by the computers that convert the signal intensity, the signal phase, and the signal location into a matrix of dots with different values. Each value is represented with a tone of gray. The minimum value is black, and the maximum value is white, and in between is a scale of gray. At this point WE HAVE THE MR IMAGE!

How the FMRI Works

In functional imaging we have two components: a task and a result. The task is an action or activity that the subject does in order to produce a particular activation of the brain. For example, moving the right hand fingers continuously is a motor task that "activates" the brain cortex in the left frontal lobe. The result in fMRI is an image which depicts this activation.

The task can be of any type. Motor, feeling a sensation, having a perception, thinking in abstract words, attending to a changing stimulus, listening to music, comprehending a story, and many others. The task will produce this sequence of events:

  1. Increases in metabolism of the brain area involved in the task
  2. Increases in volume of blood in that particular region
  3. Increases in oxygen level
  4. Changes in the local magnetic field (Do you remember the 3D-magnetic field map discussed earlier?)
  5. Changes in the intensity of the energy (radiofrequency) in the same area.

In brief, the task elicits activity of a region of the brain, and this activity changes the intensity of the radiofrequency coming from that part. This is a very small change. But, if we repeat the task several times we are able to sum the changes to get a significant result that can be registered.

We compare a person's brain activity during a particular task with their activity level during a resting state. However, the brain works continuously, even during the resting state. For that reason the resting state is a baseline of the background activity of the brain.

So we must know the value of the background signal activity and the value of the signal related to the task. To do this, hundreds of images of the region targeted are taken during a few minutes. Meanwhile, the subject is alternating between periods of activity (performing the task) and periods of rest. In this manner we have a group of images of a region taken during the task, and the same number of images of the same region during rest. Two averaged images are obtained corresponding to two conditions in which one is "activated".

As we have seen before, images are the result of the values of the signal intensity, encoded on a gray scale. These values can be added, subtracted, etc. Well, that is exactly the next step. Powerful computers subtract the baseline values from the activated ones. These values of activation are then transformed into a map of colors. Usually the scale of this map varies from blue to red in a increasing manner. Finally, the colors are overlaid upon anatomical images, in a similar way that the weather maps are overlaid upon geographical pictures.
 

How fMRI can be helpful in Medicine

fMRI has a particular terminology. The next images explain the must important terms used to describe one experiment.

glossary.png

One epoch is a period of time in which something is occurring.

  • ON: The name of the epoch in which the task is performed
  • OFF: The name of the epoch in which the subject is at rest

A scan is the image obtained in each unit of time

A level is the localization of the site to explore. Several levels can be explored at once.

graphics_of_epoch_10.jpg

In this graphic is shown: 5 epochs ON, in which the subject performs the task; 5 epochs OFF, in which the subject is at rest; each epoch lasts 30 seconds for a total length of the experiment of 5 minutes. Four levels of the brain are explored, with 120 images (or scans) divided in alternated groups of 12.

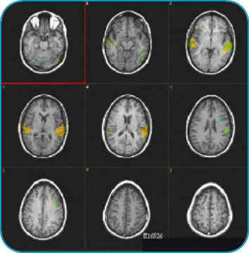
A Final Result

fmri1.png

The areas in color depict the activation of the brain regions involved in hearing and comprehending the human voice. The left hemisphere shows greater activation.